November is Men’s Health Awareness Month, a reminder for men to take proactive steps in managing all aspects of their health including prostate cancer detection and cardiovascular fitness.
Prostate cancer remains the most common cause of cancer death in men worldwide despite many studies proving that early detection significantly reduces mortality. It often develops silently, with no obvious symptoms in its early stages. This is why regular screenings are so important for men from age 40 to 50, depending on their risk.
Australia has emerged as a world leader in early prostate cancer detection and research, and Australian men are fortunate to have access to the latest advances in prostate cancer imaging via the national Medicare system.
Noosa Radiology has cutting-edge technology, which establishes accurate and early diagnosis in critical disease among men.
One of Australia’s most experienced cancer radiologists, Dr Lisa Tarlinton, has recently joined the team at Noosa Radiology. She has a special interest in prostate imaging, particularly the fusion of PSMA PET CT and prostate MRI.
Dr Tarlinton completed her medical degree at UNSW and undertook radiology training at Royal Prince Alfred Hospital before entering a dual fellowship training in PET/CT and body imaging at Memorial Sloan Kettering Cancer Centre in New York. Prior to moving to Noosa, she worked at Sydney Adventist Hospital.

“One of the biggest attractions that drew me to Noosa Radiology was the unique combination of having the latest prostate imaging technology under one roof while working for an independent doctor-led practice with traditional values of patient care,” Dr Tarlinton said.
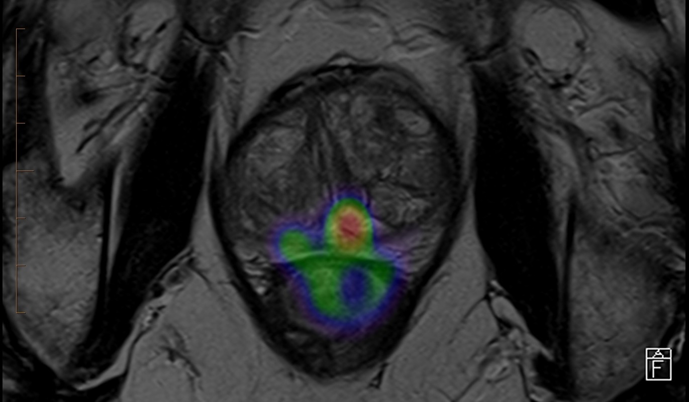
“Noosa Radiology has invested heavily in state-of-the-art Siemens digital prostate imaging equipment that many large tertiary care teaching hospitals would only dream of.
“Using integrated AI software, I can combine the PET and MRI images to provide the greatest accuracy in the detection and staging of prostate cancer for our local patients.”
Noosa’s beach lifestyle was obviously also a big drawcard.

“I grew up in regional Queensland, so it’s nice to be back home and for my husband and two children to experience the laidback lifestyle and kindness of Queenslanders.”
Noosa Radiology received a full Medicare MRI licence July 1. Many MRI studies, including prostate MRI, can now be performed with no out-of-pocket expense for patients.
“Both the Siemens Lumina 3T MRI and the Biograph 450 Digital PET/CT are at the forefront on imaging technology,” Dr Tarlinton said.
“The digital PET / CT platform can pick up lymph node metastases as small as 1mm. We have also commenced theranostic treatment services for those prostate cancer patients who will benefit.
“We are the first provider of this service on the Sunshine Coast.”
Noosa Radiology also offers a full range of preventative imaging services including screening for heart disease with CT calcium score and CT coronary angiography, dementia with CT, MRI and PET/CT and lung cancer with chest x-ray and CT, and osteoporosis with DEXA.
For more information visit www.noosaradiology.com.au or talk to your GP or specialist.




